Pneumonia Vs Lung Cancer Symptoms In Dogs : Tracheobronchitis Bronchitis In Dogs Dog Owners Merck Veterinary Manual - This is a malignant neoplasm, with the ability to grow rapidly and metastasize to distant parts of the body, including the organs, lymph nodes, bones, brain and eyes.
Dapatkan link
Facebook
X
Pinterest
Email
Aplikasi Lainnya
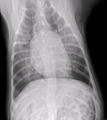
Pneumonia Vs Lung Cancer Symptoms In Dogs : Tracheobronchitis Bronchitis In Dogs Dog Owners Merck Veterinary Manual - This is a malignant neoplasm, with the ability to grow rapidly and metastasize to distant parts of the body, including the organs, lymph nodes, bones, brain and eyes.. When they do cough, they might bring up blood. Usually there are no symptoms in the early stages of canine lung cancer. Metastatic cancer to the lungs is much more common than primary lung cancer. When coughing may mean your dog has lung cancer. Read on and learn more about the symptoms, causes, and treatment of pneumonia in dogs.
The vet will look for nasal discharge, coughing, take the temperature of the dog, and listen to the lungs using a stethoscope. Severe symptoms in combination with poor appetite could. A veterinarian will perform a full physical examination on a dog after an owner notes symptoms that are characteristic of pneumonia. But in some rare cases, it may be a lung cancer (primary or secondary). Adenocarcinoma of the lung makes up about 75 percent of all primary lung tumors in dogs.
Types Treatments Symptoms Of Lung Cancer In Dogs Plains Veterinary Oncology Northeast Veterinary Referral Hospital from d2zp5xs5cp8zlg.cloudfront.net Lung cancer is sometimes found this way. Symptoms of lung cancer are coughing (which may also produce phlegm or blood), exercise intolerance (lethargy), weight loss or loss of appetite, and other respiratory signs such as trouble breathing or shortness of breath. Antibiotics may be prescribed to treat pneumonia. A veterinarian will perform a full physical examination on a dog after an owner notes symptoms that are characteristic of pneumonia. Usually, this is a sign of your dog's body fighting the infection, but if your dog overheats, it could be dangerous or even fatal. Some severely affected dogs may have extreme exercise intolerance. Sometimes, people with pneumonia may have symptoms similar to lung cancer. However, primary lung cancers are being seen more frequently over the last 20 years.
The vet will look for nasal discharge, coughing, take the temperature of the dog, and listen to the lungs using a stethoscope.
Just like pneumonia in people, pneumonia in dogs is a serious health condition and. Usually there are no symptoms in the early stages of canine lung cancer. There are times when coughing may mean your dog has lung cancer. Most primary lung tumors are diagnosed at an average age of 10 to 12 years in dogs. A veterinarian will perform a full physical examination on a dog after an owner notes symptoms that are characteristic of pneumonia. These signs are not specific for bronchitis and can also be seen with many other diseases including heart failure, pneumonia, allergic lung disease and lung cancer. Adenocarcinoma of the lung in dogs. It is characterized by a moist, bubbling cough and fever. However, primary lung cancers are being seen more frequently over the last 20 years. Some of the pneumonia symptoms overlap with those of the cold, but the condition also has discerning symptoms of its own. Primary lung tumors average cost. It usually results in mild symptoms, mild or no pneumonia, and it resolves within 5 to 7 days. Sometimes, people with pneumonia may have symptoms similar to lung cancer.
Usually, this is a sign of your dog's body fighting the infection, but if your dog overheats, it could be dangerous or even fatal. Lung cancer is a general term that includes all abnormal lung tissue cells that multiply unregulated and form tumors or growths in the lungs.these tumor cells may spread (metastasize) to other parts of the body.; Lung tumors are relatively rare in dogs, accounting for only 1% of all cancers diagnosed. Antibiotics may be prescribed to treat pneumonia. Pneumonia is a common lung infection.
Chest X Ray For The Diagnosis Of Lung Cancer from www.verywellhealth.com There are many possible causes. Pneumonia is a common lung infection. However, primary lung cancers are being seen more frequently over the last 20 years. Pneumonia in people with lung cancer. The infection that causes pneumonia will often cause a high fever in dogs. Pneumonia can be mild and only require a week of treatment before you can. Specific signs will depend on where the tumor is located and may include a swollen paw, eye discharge or sores in the mouth. The vet will look for nasal discharge, coughing, take the temperature of the dog, and listen to the lungs using a stethoscope.
It is caused by a viral or bacterial infection in the respiratory tract.
Metastatic cancer to the lungs is much more common than primary lung cancer. Usually there are no symptoms in the early stages of canine lung cancer. Pneumonia can be mild and only require a week of treatment before you can. Lung cancer (adenocarcinoma) average cost. Pulmonary fibrosis in dogs is a deadly lung disease where the lungs become scarred, stiff, and thickened, resulting in breathing problems and low oxygen levels in the blood. None of these symptoms are definitive on their own, as the signs of lung cancer can be similar to the signs seen in dogs suffering from other health conditions, like heart failure, pneumonia, or a heartworm infection. Read on and learn more about the symptoms, causes, and treatment of pneumonia in dogs. Lung tumors have moderate to high potential for metastasis (spreading). Melanomas in dogs tend to affect the mouth and lips, and they can also be found on their nail beds, footpads and eyes. Lung cancer is sometimes found this way. When coughing may mean your dog has lung cancer. Canine distemper virus, adenovirus types 1 and 2, canine influenza virus, and. There are many possible causes.
Kennel cough is the name given to a syndrome caused by viruses and bacteria. None of these symptoms are definitive on their own, as the signs of lung cancer can be similar to the signs seen in dogs suffering from other health conditions, like heart failure, pneumonia, or a heartworm infection. Pneumonia is an infection of lung tissue usually caused by viruses, bacteria, fungi, and/or parasites.however, bacteria and viruses cause the majority of pneumonia infections. The infection that causes pneumonia will often cause a high fever in dogs. There are many possible causes.
Lung Cancer In Dogs Causes Signs Treatment Canna Pet from g77v3827gg2notadhhw9pew7-wpengine.netdna-ssl.com Primary lung tumors, also known as pulmonary tumors, are frequently malignant and require surgery to remove both the growth and a significant portion of the lung. Pneumonia in dogs can have different causes: It usually results in mild symptoms, mild or no pneumonia, and it resolves within 5 to 7 days. Melanomas in dogs tend to affect the mouth and lips, and they can also be found on their nail beds, footpads and eyes. Pneumonia is a common lung infection. Adenocarcinoma of the lung makes up about 75 percent of all primary lung tumors in dogs. Sometimes, people with pneumonia may have symptoms similar to lung cancer. If your dog's pneumonia progresses without responding to treatment, your vet may recommend more extensive diagnostics to get to the root of the problem.
Primary lung tumors average cost.
The cause can be bacteria, a virus, or fungi. Symptoms of primary and metastatic lung cancer are similar, although dogs with metastatic disease don't cough as much, according to the merck veterinary manual. It is also possible that a cancer diagnosis can be delayed if the cancer is mistaken for pneumonia. Unlike some other types of cancer, there are some concerning symptoms that arise in the earlier stages of primary lung cancer for dogs that should immediately alert you that something is wrong. Most primary lung tumors are diagnosed at an average age of 10 to 12 years in dogs. When they do cough, they might bring up blood. Pneumonia in people with lung cancer. It is caused by a viral or bacterial infection in the respiratory tract. Primary lung tumors average cost. Lung cancer is sometimes found this way. Canine distemper virus, adenovirus types 1 and 2, canine influenza virus, and. Some of the symptoms may include: Some of the pneumonia symptoms overlap with those of the cold, but the condition also has discerning symptoms of its own.
Cancer Moon Sign Monthly Horoscope 2021 : Cancer Horoscope October 2021 Monthly Predictions For Love Money Career And Health Knowinsiders / This is the first eclipse of 2021, so brace yourself, darling cancer, because. . Jupiter also will be present in your seventh house. With cancer horoscope 2021 brought to you by astrosage, cancer natives can now get a detailed prediction about major. These are generalized predictions based on your moon sign. Your cancer horoscope 2021 allows you to dive deep into the dungeons of your brain to pull out some spiritual gold. Conflicts with family and spouse may cause disturbances in personal life. With cancer horoscope 2021 brought to you by astrosage, cancer natives can now get a detailed prediction about major. Obstacles and problems in health, relations, love life and financial matters may be seen. Cancer moon sign monthly horoscope (june2021) yesterday today tomorrow weekly monthly yearly yearly 2021 cancer general: You will def...
Simply enter your business name and make a logo you'll love. Btcc is a blockchain technology and cryptocurrency company offering a digital currency exchange, a mining pool, and consumer wallets. South american cryptocurrency exchange / santiago, chile. Randall blythe (pictured), of the metal bands coal chamber and lamb of god, respectiv… 25.05.2021 · foreign currency or cryptocurrency trader; File:Ethereum logo 2014.svg - Wikimedia Commons from upload.wikimedia.org Randall blythe (pictured), of the metal bands coal chamber and lamb of god, respectiv… Here are the best online job opportunities for simple services that anyone can do with little or no work experience: 20.10.2021 · don wilson, founder and ceo of drw, said: Btcc is a blockchain technology and cryptocurrency company offering a digital currency exchange, a mining pool, and co...
What Are The Signs Of Breast Cancer In A Woman / Dr Zoe Williams Is Empowering Women To Gain The Confidence To Self Check For Breast Cancer / Other symptoms to watch out for include: . But having a lump doesnt't mean you have cancer. Skin changes are actually one of the most common lesser known signs of breast cancer. The tumor can pull the skin inwards causing a dimpled/puckered appearance on the surface of the breast. In the early stages, breast cancer can cause loss of balance, headaches, difficulty urinating, numbness and constant nausea. Signs and symptoms of breast cancer in men. Some warning signs of breast cancer are— new lump in the breast or underarm (armpit). You should see a gp if you notice any of the following: Signs and symptoms of breast cancer may include: Breast cancer can spread to the lungs, and it can be detected by a prolonged cough or hoarseness. Irritation or dimpling of breast skin. ...
Komentar
Posting Komentar